Subtle Medical - Deep Learning boosts healthcare. Faster, Safer, Smarter.

SubtleSYNTH™

100%
Acceleration.
Zero-Minute STIR. 

Request a Demo

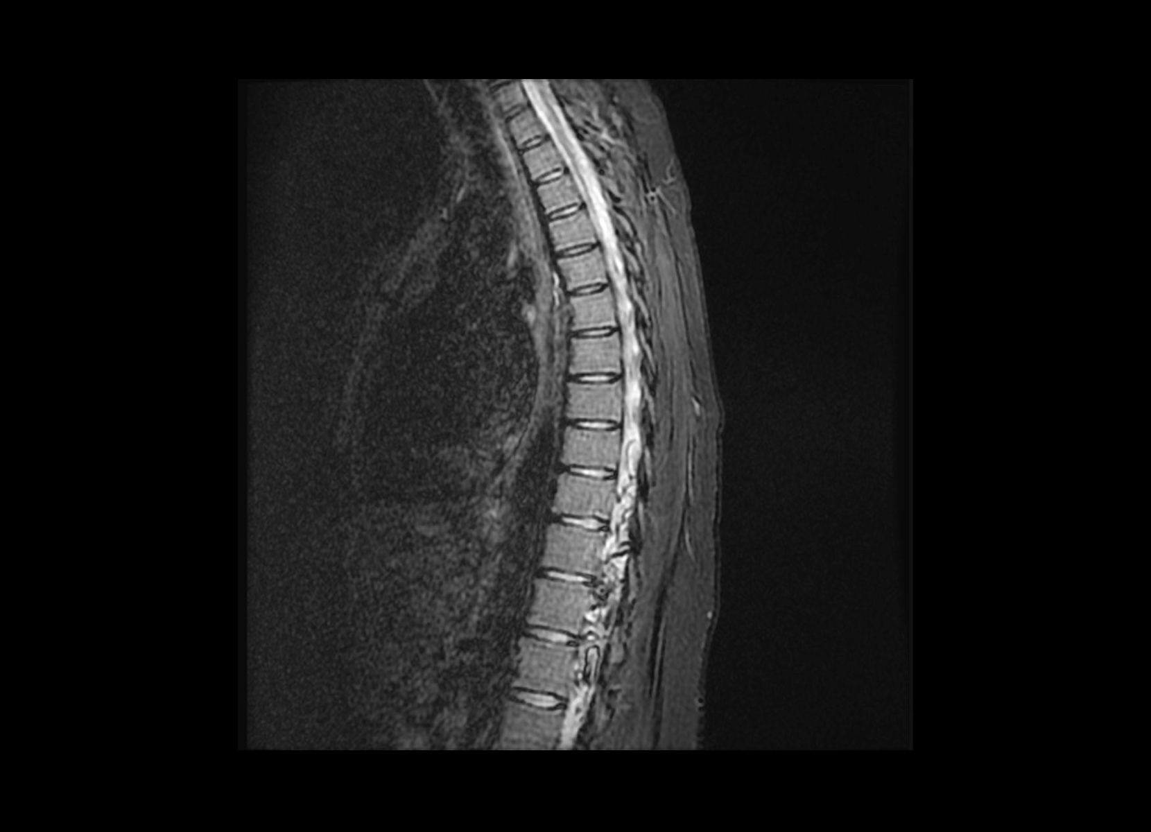
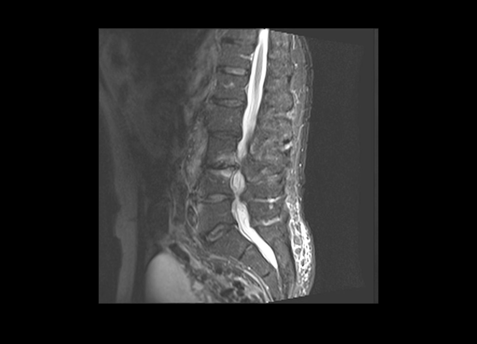
Conventional
STIR

SubtleSYNTH™
(Synthesized STIR)™

Trauma
GE 1.5T
C-spine

Key Benefits:

100% Acceleration

Option to forgo STIR acquisitions, cutting overall scan times.

Optimized Efficiency

Works alongside SubtleHD(MR)™ to further enhance MRI throughput.

Improved Image Quality

Enables institutions to automatically produce high quality SynthSTIR images.

Transforming
MRI Workflow with
AI-Generated Contrast Sequences

SubtleSYNTH™ is an advanced deep learning solution that generates synthetic MR imaging contrasts from existing sequences, potentially reducing the need for additional acquisitions.

By achieving 100% acceleration, SubtleSYNTH™
produces STIR images in 0 minutes, allowing
radiologists to reduce scan times while maintaining exceptional image quality.

Seamless Integration, Maximum Impact

Designed for efficiency and scalability, SubtleSYNTH™ seamlessly integrates into any radiology workflow, working across all MRI vendors and PACS. The first commercial release supports spine imaging, with future expansions planned for additional anatomies.

By scanners

  • GE
  • Siemens
  • Hitachi
  • Toshiba
  • Philips

Normal

GE 3T

C-spine

Normal

GE 3T

C-spine

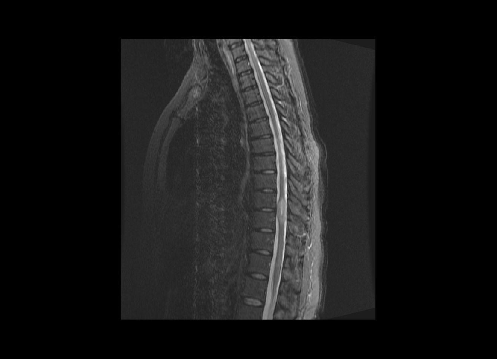
Conventional
STIR

SubtleSYNTH™
(Synthesized STIR)™

Cord lesion

GE 1.5T

C-spine

Cord lesion

GE 1.5T

C-spine

Conventional
STIR

SubtleSYNTH™
(Synthesized STIR)™

Cord lesion

GE 3T

C-spine

Cord lesion

GE 3T

C-spine

Conventional
STIR

SubtleSYNTH™
(Synthesized STIR)™

Trauma

GE 1.5T

C-spine

Trauma

GE 1.5T

C-spine

Conventional
STIR

SubtleSYNTH™
(Synthesized STIR)™

Vascular

GE 1.5T

C-spine

Vascular

GE 1.5T

C-spine

Conventional
STIR

SubtleSYNTH™
(Synthesized STIR)™

Hemorrhage

GE 1.5T

C-spine

Hemorrhage

GE 1.5T

C-spine

Conventional
STIR

SubtleSYNTH™
(Synthesized STIR)™

Trauma

GE 1.5T

C-spine

Trauma

GE 1.5T

C-spine

Conventional
STIR

SubtleSYNTH™
(Synthesized STIR)™

Normal

GE 1.5T

C-spine

Normal

GE 1.5T

C-spine

Conventional
STIR

SubtleSYNTH™
(Synthesized STIR)™

Vascular

GE 1.5T

C-spine

Vascular

GE 1.5T

C-spine

Conventional
STIR

SubtleSYNTH™
(Synthesized STIR)™

Vascular

Siemens 1.5T

C-spine

Vascular

Siemens 1.5T

C-spine

Conventional
STIR

SubtleSYNTH™
(Synthesized STIR)™

Degenerative

Siemens 1.5T

C-spine

Degenerative

Siemens 1.5T

C-spine

Conventional
STIR

SubtleSYNTH™
(Synthesized STIR)™

Infection

Siemens 1.5T

C-spine

Infection

Siemens 1.5T

C-spine

Conventional
STIR

SubtleSYNTH™
(Synthesized STIR)™

Trauma

Siemens 1.5T

C-spine

Trauma

Siemens 1.5T

C-spine

Conventional
STIR

SubtleSYNTH™
(Synthesized STIR)™

Degenerative

Siemens 1.5T

C-spine

Degenerative

Siemens 1.5T

C-spine

Conventional
STIR

SubtleSYNTH™
(Synthesized STIR)™

Degenerative

Siemens 1.5T

C-spine

Degenerative

Siemens 1.5T

C-spine

Conventional
STIR

SubtleSYNTH™
(Synthesized STIR)™

Non-cord lesion

Hitachi 0.3T

C-spine

Non-cord lesion

Hitachi 0.3T

C-spine

Conventional
STIR

SubtleSYNTH™
(Synthesized STIR)™

Degenerative

Hitachi 0.3T

C-spine

Degenerative

Hitachi 0.3T

C-spine

Conventional
STIR

SubtleSYNTH™
(Synthesized STIR)™

Trauma

Toshiba 1.5T

C-spine

Trauma

Toshiba 1.5T

C-spine

Conventional
STIR

SubtleSYNTH™
(Synthesized STIR)™

Normal

Philips 3T

C-spine

Normal

Philips 3T

C-spine

Conventional
STIR

SubtleSYNTH™
(Synthesized STIR)™

Non-cord lesion

Philips 1.5T

C-spine

Non-cord lesion

Philips 1.5T

C-spine

Conventional
STIR

SubtleSYNTH™
(Synthesized STIR)™

SubtleSYNTH™

100% Acceleration.
Zero-Minute STIR.