Nov 30th | 11:45am - 12:15pm
A Unified Model for Synthetic Multiplanar Reformation of Multiple Knee MRI Sequences (Poster)
Advanced AI software solutions for faster, safer, and higher quality MRI and PET imaging.
AI-powered denoising and sharpening for ultra-clear MRI images, enabling up to 80% faster scan times.
AI-generated MR imaging contrasts, achieving 100% acceleration and producing STIR images in 0 minutes.
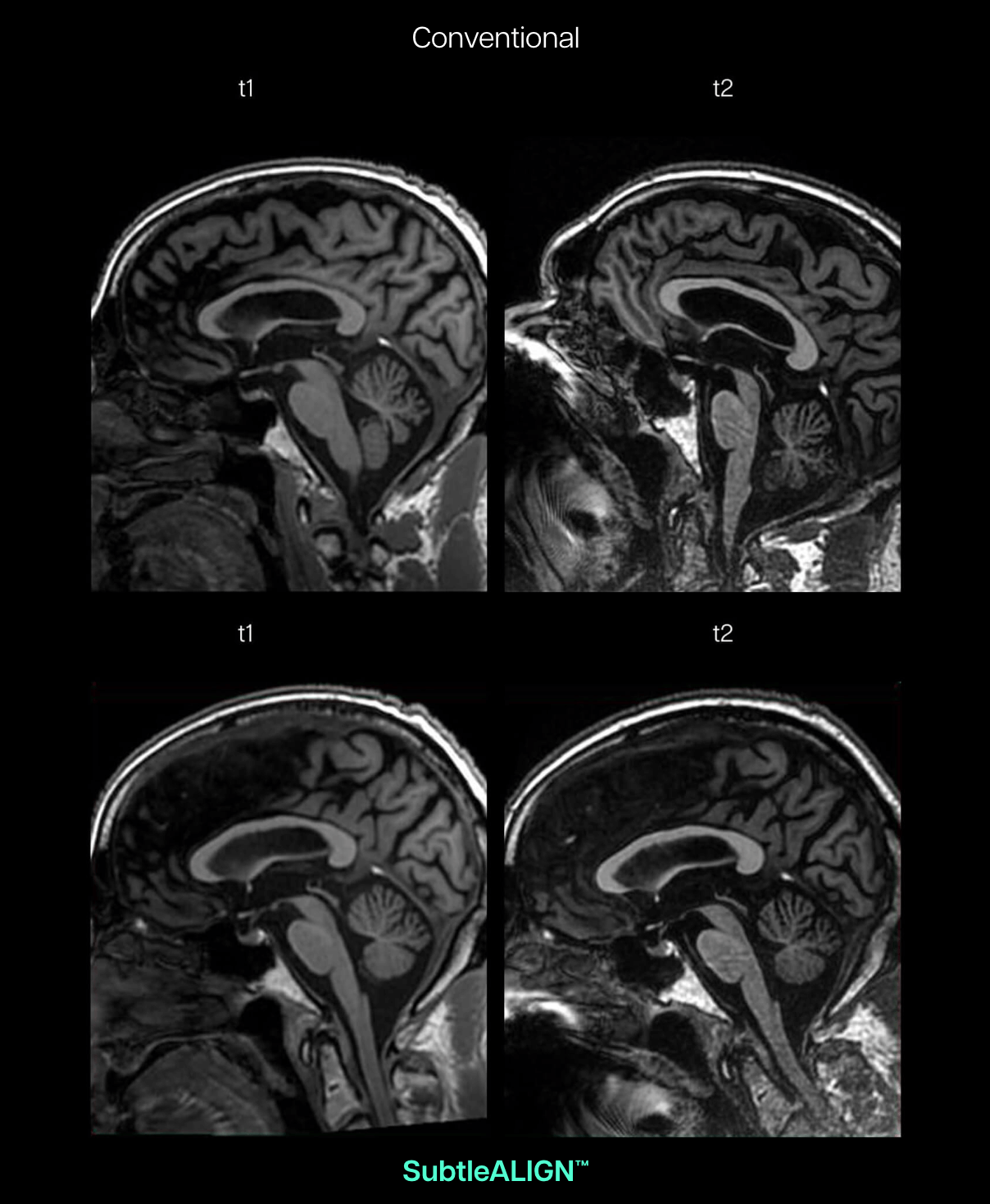
Automates brain MR alignment for improved consistency and reduced manual adjustments.
AI-driven image enhancement for up to 60% faster and higher quality MRI scans.
AI Showcase,
South Hall Level 3
Date:

Time:
3:00PM
Location:
RSNA AI Theater (Booth #5536) in the AI Showcase, South Hall
Powering the Future of Faster and Higher Quality Imaging with Subtle-ELITE™ and Beyond. At this year’s RSNA, Subtle Medical will showcase how our AI solutions are redefining imaging speed and quality—and what’s next for enterprise radiology.
Ajit Shankaranarayanan, PhD
Chief Product Officer
Subtle Medical
Date:

Time:
12:00PM-1:00PM
Location:
South Building, Level 4, Room S403A
Accelerate, Enhance, Organize — Subtle Medical’s Suite of AI Solutions Offers Immediate Clinical and Operational Impact. Join Subtle Medical at RSNA 2025 for a look at how our AI solutions are transforming imaging today—and where we’re headed next.
Ajit Shankaranarayanan, PhD
Chief Product Officer
Subtle Medical
Nasir Siddiqui, MD, MBA
Chief Medical Officer
Akumin
Sean Raj, MD, MBA
Chief Medical Officer & Chief Innovation Officer
SimonMed Imaging
Lawrence Tanenbaum, MD, FACR
Neuroradiologist
Previously RadNet,
Mount Sinai
Nov 30th | 11:45am - 12:15pm
A Unified Model for Synthetic Multiplanar Reformation of Multiple Knee MRI Sequences (Poster)
Dec 1st | 1:15pm -1:45pm
Deep Learning Denoising Enables Diagnostic-Quality Imaging from Pediatric Low-Dose CT (Oral)
Dec 2nd | 12:15pm - 12:45pm
Image Synthesis of Double Inversion Recovery-like Series for Enhanced Contrast and Focal Cortical Dysplasia Visualization (Poster)
Dec 2nd | 12:15pm - 14:45pm
Synthesizing High Quality 3D TOF-MRA through Multi-Modal Diffusion Model (Poster)
Dec 2nd | 3:00pm - 4:00pm
An NLP and Pixel-Based Data Harmonization Approach Achieves 98.1% Accuracy in Series Naming Standardization on a Large Brain Validation Dataset. (Oral)
Dec 2nd 9:00am - 9:30am
Proof-Of-Concept Evaluation of Vision-Language Model into Radiology Workflow: MRI Sequence Standardization for Metadata Harmonization and Scalable Deployment (Oral)
Dec 2nd | 9:00am - 9:30am
A Deep-Learning Approach Trained on Simulated Dataset for PET Image Quality Enhancement: Validation on a Multi-Center, Multi-Vendor Study (Poster)
Dec 4th | 12:15pm - 12:45pm
DeepCT: A General Deep Learning-Based Model for CT Image Restoration (Poster)
AI-powered denoising and sharpening for ultra-clear MRI images, enabling up to 80% faster scan times.
AI-generated MR imaging contrasts, achieving 100% acceleration and producing STIR images in 0 minutes.
Automates brain MR alignment for improved consistency and reduced manual adjustments.
AI-powered image enhancement for faster low count PET imaging.
AiMIFY™ software leverages deep-learning algorithms to predict and display amplified contrast enhancement between pre- and post-contrast image acquisition.